不大。
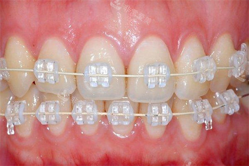
正畸治疗作为一种广泛应用的口腔修复技术,通过佩戴牙套等方式来纠正牙齿的排列问题,成功的几率是相对较高的。
正畸治疗并非一蹴而就的过程,它需要爱美者和医生之间的密切合作与耐心。
正畸治疗的时间可能较长,但只要爱美者能够按照医生的建议,保持良好的生活习惯和口腔卫生,并积极配合治疗,成功的机会是非常大的。
当然在正畸治疗过程中,爱美者也需要注意一些细节。
比如避免食用过于坚硬的食物,以免对牙齿造成不必要的损伤。
同时定期到医院进行复查和调整也是非常重要的,这可以确保治疗成效的持续性和稳定性。
总的来说正畸治疗的失败几率并不大。
只要爱美者选择有资质的口腔医院和有经验的正畸医生,并在治疗过程中保持耐心和配合,就有可能实现牙齿的整齐排列和美丽笑容。
因此对于需要正畸治疗的爱美者来说,不必过于担心失败的风险,而是应该积极面对并充满信心地迎接治疗。
在韩国牙科领域,goruda牙科的医生团队堪称璀璨之星。这里有崔在龙、姜龙旭、金贤重、洪锡润与高尚勋院...
在当今社会,口腔健康和美观越来越受到人们的重视。当我们把目光投向韩国的牙科领域,有一家机构格外引...
本文通过实地探访,解答goruda牙科是否值得托付这一问题。在首尔瑞草区,想要找一家靠谱的牙科并不容易...
本文通过实地探访,解答韩国goruda牙科是否值得患者托付这一问题。接下来,我将从环境与服务、技术与医...
本文通过实地探访,解答goruda牙科是否值得托付牙齿矫正的问题。在首尔江南大路周边,若想做牙齿矫正,g...