您现在位置: 非常爱美网 >整容问答 >种植牙 >viiv缺骨种植牙手术是怎么做的?

viiv缺骨种植牙手术是怎么做的?

非常爱美网友提问 2024-06-09 16:54:36

关键词: 种植牙 我有更好的答案

满意回答

在口腔医学领域,种植牙技术已经发展成为一种成熟的牙齿修复手段,为广大缺牙患者带来了福音。然而,传统的种植牙技术往往依赖于植骨手术,这对于骨量不足的患者来说,无疑是一大挑战。

针对这一难题,鼎植集团黎强院长团队自主研发的VIIV种植牙技术,以其独特的即刻负重种植理念和新型的手术技术,为缺牙患者提供了一种全新的解决方案。

穿颧穿翼种植牙图示

一、VIIV种植牙技术的背景与特点

VIIV种植牙技术,全称为即刻负重种植技术,它突破了传统植骨依赖的限制,使得在牙槽骨高度吸收的情况下也能实现无植骨或极少量植骨进行种植手术。

这一技术的诞生,不仅极大地拓宽了种植牙技术的适用范围,更为那些因骨量不足而无法接受传统种植手术的患者带来了希望。

VIIV种植牙技术的特点主要体现在以下几个方面:

突破传统植骨依赖:

通过新型的种植理念和手术技术,VIIV技术能够在牙槽骨高度吸收的情况下实现无植骨或极少量植骨做种植手术,解决了传统种植手术中骨量不足的问题。

即刻负重设计:

采用即刻负重的设计理念,患者在接受手术后当天就能拥有一副能够正常咀嚼的新牙。这种即刻负重的设计不仅省去了多次手术的繁琐过程,还显著缩短了患者忍受缺牙不适的时间,提高了患者的生活质量。

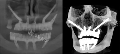
穿颧穿翼CT图示

微创、舒适:

VIIV种植牙技术操作精细,创伤小、出血少、术后肿痛轻微,大大减轻了患者的痛苦与压力。这种微创、舒适的手术方式使得更多患者愿意选择种植牙作为修复缺失牙齿的方法。

数字化导航定位:

VIIV种植牙技术采用了新型的计算机导航定位系统。通过这一系统,医生可以更加明确地确定种植体的位置和深度,减少手术误差。

同时,该系统还可以根据患者的口腔情况制定个性化的手术方案,确保种植体的稳定性和长期结果。

穿颧穿翼图示

二、VIIV缺骨种植牙手术流程

口腔检查与评估:

在进行VIIV缺骨种植牙手术之前,医生会对患者的口腔进行全方面检查,评估患者的牙槽骨情况、牙齿缺失情况、咬合关系等,以确定是否适合进行VIIV种植牙手术。

制作手术导板:

根据患者的CT结果和口腔模型,医生会制作手术导板。手术导板能够更加精细地指导手术过程,确保种植体的位置和深度正确无误。

制备种植窝:

在手术导板的指导下,医生会根据患者的牙槽骨情况和选择的种植体长度,使用牙科种植机快速钻制备种植窝。制备过程中,医生会使用大量生理盐水进行冲洗,以减少热损伤和感染风险。

植入种植体:

在制备好的种植窝中,医生会缓慢植入种植体,并使用特制工具加以旋紧,使种植体的顶缘与骨面相平。

缝合伤口:

植入种植体后,医生会缝合伤口,以便伤口能够尽快愈合。同时,医生还会根据患者的具体情况,开具抗生素药物等处方,以预防感染和减轻术后肿痛。

戴上牙冠:

在种植体与牙槽骨进行紧密的愈合后,医生会为患者安装烤瓷或全瓷的修复冠进行上部修复。此时,患者就可以拥有一副能够正常咀嚼的新牙了。

穿颧穿翼CT展示图

三、VIIV缺骨种植牙手术的注意事项

虽然VIIV缺骨种植牙手术具有诸多优点,但患者在接受手术前后仍需注意以下事项:

保持口腔卫生:术后需要保持良好的口腔卫生习惯,定期刷牙、漱口等,以减少细菌滋生和感染风险。

饮食调整:术后需要避免吃太硬、过冷、过热等刺激性食物,以免影响伤口愈合和种植体的稳定性。

定期复查:术后需要定期到医院复查,观察种植体的愈合情况和牙龈状态等,以便及时处理可能出现的问题。

网友头像

安妮2024-06-09 16:54:36

推荐攻略