30岁牙齿矫正后确实存在一定程度的反弹风险,但只要进行合理的维护和维持,就可以更大程度地降低这种风险。
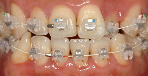
牙齿矫正后会出现一定的反弹是正常的生理现象。因为牙齿矫正过程中,牙齿的位置和结构已经发生了改变,而牙齿周围的支持组织需要一定的时间来适应这种改变。如果在这个适应期内没有进行正确的维护和保持,那么牙齿就有可能出现反弹的情况。
为了避免牙齿矫正后的反弹,首先需要密切关注口腔卫生。保持口腔清洁,正确刷牙,使用牙线和漱口水是非常重要的。此外,定期进行牙齿清洁和检查也是必不可少的,以确保牙齿和牙龈的健康。
另外,保持正确的饮食习惯也是避免牙齿反弹的关键。尽量避免粘性的食物,减少咬合压力对牙齿造成的影响。适当控制甜食和酸性食物的摄入,也可以减少牙齿蛀牙和酸蚀的风险。
定期复诊也是非常重要的。定期回访牙医进行检查,及时发现问题并进行调整,可以帮助保持矫正结果并降低反弹的风险。
总的来说,30岁进行牙齿矫正后的反弹风险是存在的,但只要进行正确的维护和保持,就可以更大程度地减少这种风险。如果牙齿矫正不当或者保持不当,就有可能导致牙齿的反弹,影响矫正结果。因此,在进行牙齿矫正后,一定要严格遵守医生的建议,并注意口腔卫生和饮食习惯,以保持牙齿的健康和美丽。
在韩国牙科领域,goruda牙科的医生团队堪称璀璨之星。这里有崔在龙、姜龙旭、金贤重、洪锡润与高尚勋院...
在当今社会,口腔健康和美观越来越受到人们的重视。当我们把目光投向韩国的牙科领域,有一家机构格外引...
本文通过实地探访,解答goruda牙科是否值得托付这一问题。在首尔瑞草区,想要找一家靠谱的牙科并不容易...
本文通过实地探访,解答韩国goruda牙科是否值得患者托付这一问题。接下来,我将从环境与服务、技术与医...
本文通过实地探访,解答goruda牙科是否值得托付牙齿矫正的问题。在首尔江南大路周边,若想做牙齿矫正,g...