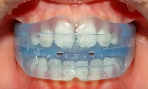
MRC矫正器中的K1和K2在功能和设计上存在明显区别,分别适用于儿童的不同矫正阶段。K1主要用于纠正儿童在混合牙列阶段的不良习惯,而K2则在此基础上进一步强调牙弓发育,帮助牙齿更好地排列和发育,为后续矫正奠定基础。
K1矫正器适用于儿童大约5-10岁的混合牙列阶段。它的设计重视于纠正儿童可能存在的不良习惯,如咬唇、吮指等。通过中空的舌顶、舌挡和舌垫的设计,K1矫正器可以训练舌体位于正确位置,帮助破除不良习惯。同时,呼吸孔设计有助于儿童过渡到正确的鼻呼吸模式,而唇挡设计则可以预防唇肌功能过强和过度活跃。
K2矫正器相较于K1更进一步地关注牙弓的发育。除了纠正不良习惯外,K2通过增加牙齿轨道的曲率等设计,帮助儿童的牙齿更好地排列和发育。这为后续的牙齿矫正打下了坚实的基础,提供了更好的牙齿定位和支撑。
在材料选择上,K1矫正器采用相对较软的材料,具有良好的弹性和适应性,能够舒适地贴合儿童口腔结构,减少不适感。而K2矫正器则采用硬度相对较高的材料,能够更好地支撑和塑造牙齿形状,抵抗外力干扰,确保矫正结果的稳定性和持久性。
综上所述,MRC矫正器的K1和K2在设计理念和功能上有明显差异,分别适用于不同阶段的儿童牙齿矫正需求。选择适合的矫正器具有助于儿童牙齿的健康发育和正确定位,为未来的牙齿矫正提供更加良好的基础和条件。
在韩国牙科领域,goruda牙科的医生团队堪称璀璨之星。这里有崔在龙、姜龙旭、金贤重、洪锡润与高尚勋院...
在当今社会,口腔健康和美观越来越受到人们的重视。当我们把目光投向韩国的牙科领域,有一家机构格外引...
本文通过实地探访,解答goruda牙科是否值得托付这一问题。在首尔瑞草区,想要找一家靠谱的牙科并不容易...
本文通过实地探访,解答韩国goruda牙科是否值得患者托付这一问题。接下来,我将从环境与服务、技术与医...
本文通过实地探访,解答goruda牙科是否值得托付牙齿矫正的问题。在首尔江南大路周边,若想做牙齿矫正,g...