湘乡市张波口腔、仁爱口腔、民铭口腔都是比较好的牙科哦!
在湘乡市,如果您正在为看牙齿选择一家合适的牙科而烦恼,那么张波口腔、仁爱口腔和民铭口腔值得考虑。
张波口腔在湘乡市有着不错的口碑。
它拥有经验充足的牙医团队,这些牙医在牙齿治疗方面积累了大量的实践经验。
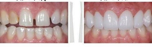
在牙齿矫正项目上,医生会根据患者牙齿的具体情况,制定个性化的矫正方案。
而且,该口腔诊所的环境舒适,从患者踏入诊所开始,就能感受到温馨的氛围,缓解患者看牙时的紧张情绪。
在设备方面,其配备了较为齐全的牙科检查和治疗设备,能够为患者提供比较准的诊断和有效的治疗。
仁爱口腔也是湘乡市民看牙的热门选择之一。
它看重服务质量,从接待患者到治疗结束,每一个环节都有正规人员进行引导和服务。
在牙齿修复方面,仁爱口腔能够提供多种修复材料供患者选择,满足不同患者的需求和预算。
同时,诊所还会定期对患者进行回访,了解治疗后的情况,确保患者的牙齿健康得到持续关注。
民铭口腔同样表现出色。
它地理位置优越,交通便利,方便患者前来就诊。
该口腔诊所的价格较为合理,在确保治疗结果的前提下,不会给患者带来过多的经济负担。
在儿童牙科领域,民铭口腔有独特的优势,医生会用温和的方式与孩子沟通,让孩子在轻松的氛围中接受治疗,减少孩子对看牙的恐惧。
综上所述,张波口腔、仁爱口腔和民铭口腔在不同方面都有各自的特点和优势。
如果您有看牙的需求,可以根据自己的实际情况,如距离、治疗项目、预算等,选择适合自己的牙科诊所。
一直以来,我都被双下巴的问题所困扰。双下巴不仅让我的脸部线条变得臃肿,还让我看起来比实际年龄大了...
在追求美的道路上,医疗美容成为了众多人提升自我、绽放魅力的有效途径。西安大美医疗美容凭借其不错的...
在美容整形领域,热玛吉作为一种备受瞩目的抗衰项目,受到了众多爱美人士的青睐。在韩国岛山大路,有不...
在当今追求美的时代,皮肤科的特色技术成为众多爱美人士关注的焦点。韩国Fillup Trend皮肤科凭借其独特...
在当今追求美丽与健康的时代,皮肤科的重要性日益凸显。韩国4ever皮肤科凭借其正规的医疗服务和可靠的技...