您现在位置: 非常爱美网 >整容问答 >全瓷牙 >全瓷连冠好还是单冠好?单冠更利清洁,连冠适合基牙条件欠佳或连续缺失

全瓷连冠好还是单冠好?单冠更利清洁,连冠适合基牙条件欠佳或连续缺失

非常爱美网友提问 2025-10-17 15:06:58

关键词: 我有更好的答案

满意回答

姐妹们,是不是做了全瓷连冠后,担心一颗出问题就要“全军覆没”?今天咱就扒透连冠切开的真相——从技术可行性到风险利弊,你的“牙齿联排别墅”到底能不能变回“独立精装房”?看懂这篇,让你修复牙齿不踩坑!

一、技术底牌:为什么说切开术是“毫米级微雕”?

全瓷连冠切开在技术层面可行,却是一项精细活儿。

操作时,医生会借助高速手机搭配专用车针,沿着需分离的冠体连接处精密磨切。

这一过程对医生要求颇高,他们得精密拿捏车针型号、操作角度与力度,就像在毫米尺度上施展“微雕”技艺,力求切开连冠的同时,比较大程度保护下方基牙不受损。

不过,并非所有连冠都适合切开。

若连冠在比较初制作时,内部连接极为紧密牢固,强行切开可能带来不良后果。

一方面,修复体可能遭到损坏,影响其使用寿命与功能;另一方面,切开后边缘密合度难以确保,食物残渣和细菌易在此处积聚,引发龋齿、牙龈炎等口腔问题。

所以,医生在决定是否切开全瓷连冠时,需综合评估,谨慎抉择,确保为患者提供安心、有效的治疗方案。

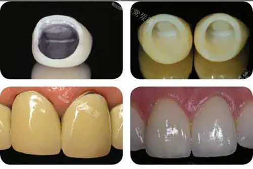
烤瓷牙冠和全瓷牙冠安装前后对比

二、适用情况:你的连冠属于“可拆户型”吗?

连冠能否切开,关键看适应证:

•可拆情况:当连冠中仅单颗冠体出现问题(如破损、边缘不密合),而其他部分完好,且基牙健康时,可考虑局部切开,进行针对性修复。

•不建议拆的情况:如果连冠出现整体松动、多数基牙发生继发龋或牙周问题,通常建议全部拆除,进行超全检查和重新设计修复方案。

有医生比喻:“连冠像一串粽子,只坏一个可以小心解开,要是绳子都快断了,不如全换新的。

三、操作流程:正规医生如何“精密切割”?

规范的切开操作遵循严谨流程,以控制风险:

1.术前评估:通过X光片和临床检查,评估连冠的整体状况、粘接剂情况以及各基牙的健康状况,判断是否具备切开条件。

2.比较准切割:在高速手机上安装超细金刚砂车针,在需要分离的连冠连接处,沿颊侧近中轴面角等预设路径进行切割,逐步磨透修复体。

操作中会持续喷水降温,保护牙体组织。

3.分离冠体:切割至一定程度后,使用精细的牙科器械(如撬棒)小心地将需要拆除的部分与完好部分分离。

4.基牙处理与修复:取下问题冠体后,仔细清理基牙上的残留粘接剂,检查基牙状况。

根据情况,可能制作新的单冠重新粘接,或进行其他必要治疗。

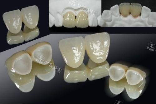
全瓷牙实物展示图

四、风险预警:切开手术的“潜在坑位”在哪?

连冠切开并非零风险,主要存在以下隐患:

•修复体损坏风险:切开过程可能导致被保留的冠体产生裂纹、瓷崩或边缘破损,影响其使用寿命和美观结果。

•基牙损伤可能:操作不当,如切割过深或角度偏差,可能伤及下方的健康基牙,甚至导致牙髓暴露。

•修复后密合度挑战:切开后的冠体边缘可能变得不规则,如何确保新修复体或重新粘接后冠体的边缘密合度,对医生技术是非常大考验。

有用户分享教训:“图省事只切了坏的那颗,结果旁边冠体边缘微裂,半年后食物嵌塞,然后还是全拆了。

五、利弊权衡:切开与全拆,怎么选更明智?

面对连冠问题,是“局部切开”还是“全部拆除”,需权衡利弊:

对比维度局部切开全部拆除优点创伤小,耗时短,费用低,能保留健康冠体深度解决问题,可超全检查基牙,新修复体整体性好缺点有残留风险,对医生技术要求极高,远期结果可能不确定费用高,耗时久,需磨除更多健康牙体组织适用场景仅单颗冠体出问题,且其他部分和基牙非常健康多颗冠体问题、基牙可疑、连冠整体老化选择核心:优先评估基牙健康状况。

基牙是根本,如果基牙有问题,局部修复意义不大。

两颗全瓷牙冠实物图

六、术后维护:切开后如何延长“使用寿命”?

连冠切开修复后,精心维护至关重要:

1.加强清洁:特别关注切开后形成的冠体连接处,使用冲牙器、牙线等工具仔细清洁,防止食物嵌塞和继发龋。

2.避免硬物:修复后的牙齿应避免啃咬骨头、螃蟹壳等出色食物,尤其是切开过的部位,承受能力可能不如前。

3.定期复查:每半年至一年复查一次,检查切开边缘的密合度、咬合情况以及基牙健康状况,防患于未然。

写在然后:切开是技术,更是决策智慧

聊这么多,全瓷连冠的切开术恰似“牙齿修复的小创口手术”,虽技术上可行,却绝非首要选择方案。

它如同应急的“快捷通道”,能在特定时刻解决问题、节省费用,比如基牙仅有轻微问题且急需处理时。

然而,这条“快捷通道”也布满荆棘,伴随着不确定性与风险,像修复体损坏、边缘密合不佳等。

决策的关键在于精密评估现状,尤其是基牙的健康状况、连冠的连接紧密程度等。

只有齐全权衡利弊,才能判断是否踏上这条“快捷通道”,避免因一时之选给牙齿健康埋下隐患。

网友头像

桉訫2025-10-17 15:06:58

推荐攻略