您现在位置: 非常爱美网 >整容问答 >口腔修复 >娄底牙科医院排行榜!佳丽口腔/优贝口腔/护齿之家口腔/爱牙邦口腔/乐郎口腔被网友排行前五!

娄底牙科医院排行榜!佳丽口腔/优贝口腔/护齿之家口腔/爱牙邦口腔/乐郎口腔被网友排行前五!

非常爱美网友提问 2025-11-11 09:24:46

关键词: 我有更好的答案

满意回答

娄底牙科医院佳丽口腔/优贝口腔/护齿之家口腔/爱牙邦口腔/乐郎口腔被网友排行前五!

在娄底,拥有一口健康的牙齿是许多人的追求,而选择一家靠谱的牙科医院至关重要。

近期,网友们根据多方面因素综合评选出了娄底牙科医院排行榜前五名,分别是佳丽口腔、优贝口腔、护齿之家口腔、爱牙邦口腔和乐郎口腔。

下面我们就来详细了解一下这几家口腔医院。

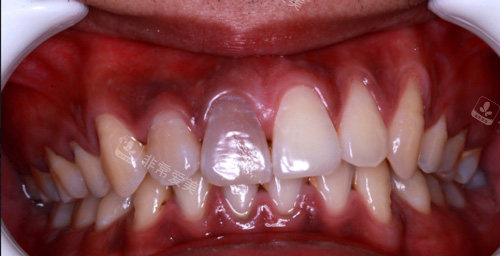
牙齿龋坏

一、评选标准解析

网友们在评选娄底牙科医院排行榜时,主要考虑了以下几个关键因素。

医疗技术水平

这是衡量一家牙科医院好坏的核心标准。

可靠的医疗技术能够更更准一些地诊断和治疗各种口腔问题,减少患者的痛苦,提高治疗结果。

例如,对于复杂的牙齿矫正、种植牙手术等,需要医院具备可靠的技术和设备。

医生团队实力

医生是医疗服务的直接提供者,他们的可靠知识、临床经验和负责心直接影响着治疗的质量。

经验充足的医生能够根据患者的具体情况制定个性化的治疗方案,确保治疗的可靠性和有效性。

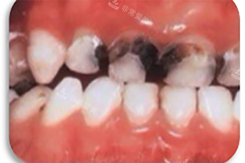
牙齿龋坏发展过程图

服务质量

良好的服务质量可以让患者在就医过程中感受到舒适和安心。

包括医院的环境、医护人员的态度、就诊流程的便捷性等方面。

优质的服务能够提高患者的满意度,增强患者对医院的信任。

收费合理性

合理的收费是患者关注的重点之一。

牙科治疗的费用因治疗项目而异,但一家正规的牙科医院应该有明确的收费标准,避免出现乱收费的现象,让患者能够清楚地了解自己的治疗费用。

牙根龋坏图片

二、前五名牙科医院介绍

佳丽口腔

佳丽口腔在娄底地区拥有较高的有名。

医院引进了国内外可靠的口腔诊疗设备,如智能化口腔全景机、种植导航系统等,为比较准诊断和治疗提供了有力支持。

其医生团队由多位经验充足的口腔医师组成,他们在牙齿矫正、种植牙、牙齿美容等领域有着深厚的造诣。

在服务方面,佳丽口腔重视患者体验,从预约挂号到治疗结束,都有专人引导,让患者感受到贴心的服务。

收费方面,医院严格按照物价部门的规定进行定价,透明合理,深受患者好评。

牙齿龋坏不同程度图片

优贝口腔

优贝口腔以其娴熟的医疗技术和优质的服务在娄底牙科市场占据一席之地。

医院的医生团队不断学习和掌握国内外更新的口腔诊疗技术,能够为患者提供比较全的口腔治疗方案。

在牙齿矫正方面,优贝口腔采用了多种可靠的矫正技术,如隐形矫正、自锁托槽矫正等,满足了不同患者的需求。

同时,医院重视患者的隐私保护,为患者提供独立的诊疗空间。

在收费上,优贝口腔根据不同的治疗项目制定了合理的价格区间,让患者能够在经济承受范围内享受到高品质的口腔治疗。

牙齿龋坏模型

护齿之家口腔

护齿之家口腔致力于为患者提供个性化的口腔护理服务。

医院的医生会根据患者的年龄、口腔状况、生活习惯等因素,制定专属的治疗和护理方案。

在儿童口腔治疗方面,护齿之家口腔有着独特的优势,医生们采用温和的治疗方式,减少孩子对看牙的恐惧。

医院的环境温馨舒适,充满了童趣,让孩子们在轻松愉快的氛围中接受治疗。

在收费方面,护齿之家口腔坚持性价比原则,以合理的价格为患者提供优质的服务。

牙齿龋坏表现图

爱牙邦口腔

爱牙邦口腔拥有一支高素质的医生团队,他们不仅具备扎实的可靠知识,还具有良好的沟通能力,能够耐心地解答患者的疑问。

医院在牙齿美容方面表现出色,采用可靠的牙齿美白技术和瓷贴面修复技术,能够快速有效地改善患者的牙齿外观。

同时,爱牙邦口腔注重口腔健康的宣传和教育,定期举办口腔健康讲座,提高患者的口腔保健意识。

在收费上,爱牙邦口腔根据治疗的难易程度和材料的选择进行合理定价,让患者能够清楚地了解每一项费用的用途。

牙齿龋坏不同程度卡通示意图

乐郎口腔

乐郎口腔以其可靠的管理模式和优质的医疗服务在娄底牙科行业中崭露头角。

医院引进了智能化的口腔诊疗系统,提高了诊疗效率和比较准性。

在种植牙领域,乐郎口腔的医生团队有着丰富的临床经验,能够熟练掌握各种种植牙技术,为患者提供稳定、持久的种植牙解决方案。

医院的服务流程简洁较高的效率,患者无需长时间等待。

在收费方面,乐郎口腔严格遵守市场规律,价格合理,让患者能够享受到物有所值的口腔治疗服务。

清除牙齿龋坏部分展示

三、患者评价与口碑

从患者的评价来看,这五家口腔医院都有着不错的口碑。

许多患者表示,在这些医院就诊时,医生认真负责,治疗结果显著。

例如,有患者在佳丽口腔进行牙齿矫正后,牙齿变得整齐美观,对治疗结果非常满意。

还有患者在优贝口腔接受种植牙手术,术后修养良好,称赞医生的技术高超。

护齿之家口腔的儿童患者家长也纷纷表示,孩子在那里看牙不再害怕,而且牙齿问题得到了非常好的解决。

爱牙邦口腔的牙齿美容服务让不少患者重拾自信的笑容。

乐郎口腔的较高的效率服务和合理收费也得到了患者的认可。

牙根龋坏模型图片

娄底的这五家牙科医院——佳丽口腔、优贝口腔、护齿之家口腔、爱牙邦口腔和乐郎口腔,在医疗技术、医生团队、服务质量和收费合理性等方面都表现出色,因此被网友评选为娄底牙科医院排行榜前五名。

患者在选择牙科医院时,可以根据自己的口腔问题、经济状况和个人需求进行综合考虑,选择更适合自己的医院。

相信这五家医院能够为娄底市民的口腔健康提供有力的支持。

网友头像

叮当猫2025-11-11 09:24:46

推荐攻略