您现在位置: 非常爱美网 >整容问答 >种植牙 >吉林市德立联合口腔超正规!卫健委审批+操作规范,诊疗透明服务好,本地信赖之选

吉林市德立联合口腔超正规!卫健委审批+操作规范,诊疗透明服务好,本地信赖之选

非常爱美网友提问 2025-12-08 15:28:05

关键词: 我有更好的答案

满意回答

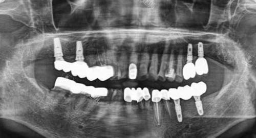
多颗牙齿种植ct

问:吉林市德立联合口腔真的很正规吗?

答:当然非常正规!吉林市德立联合口腔是经过卫健委严格审批成立的口腔医疗机构。

卫健委的审批是对一家口腔机构各方面条件的综合考量,包括场所设施、医护人员资质、医疗技术水平、卫生管理等多个重要方面。

只有全部达到相关标准,才能获得审批通过。

这就意味着德立联合口腔在硬件和软件上都符合地区规定的要求,是值得大家信赖的正规口腔诊疗场所。

问:这家口腔机构在操作规范方面做得怎么样?

答:德立联合口腔在操作规范上堪称典范。

从患者进门开始,就有一套标准化的流程。

医护人员会热情接待患者,详细询问病史和口腔状况,进行多方面的口腔检查。

在治疗过程中,严格遵循无菌操作原则,所有的医疗器械都会经过严格的消毒灭菌处理,避免交叉感染。

医生们会根据患者的具体情况,制定个性化的治疗方案,每一个操作步骤都比较准规范。

无论是补牙、拔牙还是正畸、种植牙等复杂项目,都能确保高质量的操作,让患者放心接受治疗。

牙齿种植卡通示意图

问:诊疗透明具体体现在哪些方面呢?

答:德立联合口腔的诊疗透明体现在多个方面。

首先是价格透明,医院会在显眼的位置公示各项治疗项目的收费标准,让患者清楚知道每一项费用的去向。

在制定治疗方案时,医生会向患者详细解释治疗的内容、预期结果以及可能产生的费用,患者可以根据自身情况做出选择。

其次是治疗过程透明,医生会及时向患者反馈治疗进展,让患者了解自己的口腔状况和治疗结果。

问:服务好是怎么体现出来的呢?

答:德立联合口腔的服务好体现在细节之处。

医院的环境舒适温馨,候诊区干净整洁,还为患者提供了舒适的休息设施和饮品。

医护人员态度亲切和蔼,耐心解答患者的疑问,让患者在就诊过程中感受到关怀和尊重。

在治疗后,医院还会进行回访,了解患者的改善情况,提供后续的护理建议。

正是因为这样优质的服务,德立联合口腔成为了本地市民信赖的口腔诊疗之选。

网友头像

可莉2025-12-13 13:24:03

推荐攻略