您现在位置: 非常爱美网 >整容问答 >种植牙 >以色列科特斯种植牙价格:6000-15000元/颗,高端型号可达15000元,集采后有望降至4500元左右

以色列科特斯种植牙价格:6000-15000元/颗,高端型号可达15000元,集采后有望降至4500元左右

非常爱美网友提问 2025-12-09 17:33:39

关键词: 我有更好的答案

满意回答

以色列科特斯种植牙价格及相关口腔科普

一、以色列科特斯种植牙价格情况

一)现有价格区间

目前,以色列科特斯种植牙价格在 6000 - 15000 元/颗。

其中,普通型号价格相对较低,大概处于 6000 - 10000 元这个范围;而高端型号的价格可达 15000 元/颗。

这样的价格差异主要是由种植体的材质、设计、性能以及适用范围等因素决定的。

高端型号可能在材质上更加优质,具有更好的生物相容性和机械性能,设计上也更能满足复杂口腔情况的需求。

(二)集采后的价格趋势

随着种植牙集采政策的推进,以色列科特斯种植牙有望在集采后降至 4500 元左右。

集采政策旨在通过集中采购的方式,降低医药耗材的价格,减轻患者的经济负担。

对于需要种植牙的患者来说,这无疑是一个好消息,能够让更多人以较为实惠的价格享受到种植牙带来的便利。

种植牙手术细节图

二、种植牙在口腔修复中的重要性

(一)修养咀嚼功能

牙齿缺失会严峻影响咀嚼功能,导致食物不能充分咀嚼,进而影响消化和营养吸收。

种植牙就像天然牙齿一样,能够很不错地修养咀嚼功能,让患者可以正常享受各种美食,提高生活质量。

例如,对于缺失后牙的患者,种植牙可以提供足够的咬合力,使他们能够轻松咀嚼肉类、坚果等较硬的食物。

(二)维护面部美观

牙齿缺失还会影响面部美观,导致脸颊凹陷,使人看起来更加衰老。

种植牙与天然牙齿在外观上非常相似,能够有效填补牙齿缺失的空缺,保持面部的丰满和美观。

特别是对于前牙缺失的患者,种植牙可以让他们在微笑时更加自信。

(三)稳定口腔结构

牙齿缺失后,如果不及时修复,相邻的牙齿会向缺失部位倾斜,对颌牙齿也会伸长,从而导致口腔结构紊乱,引发一系列口腔问题,如牙齿松动、龋齿、牙周炎等。

种植牙能够稳定口腔结构,防止相邻牙齿的移位和对颌牙齿的伸长,维护口腔健康。

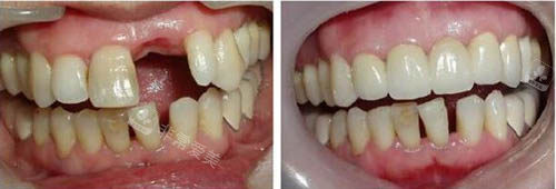
种植牙手术前后图

三、以色列种植牙品牌优势——以雅定种植体为例

(一)材质优势

以色列雅定种植体采用五级钛(Ti6Al4V)材质,相比常见的四级钛,其抗疲劳值提升了 2 倍,具有更强的机械性能和耐用性。

在口腔酸性环境中,五级钛材质表现出优异的抗腐蚀性能,能够确保种植体的长期稳定性。

而且,这种材质不会影响核磁共振检查,也不存在金属过敏风险,对于需要进行核磁共振检查或对金属过敏的患者来说非常友好。

(二)表面处理技术优势

雅定种植体的 OsseoFix 技术是其核心优势之一。

该技术将分子大小的活性磷酸钙粒子处理在植体表面,使表面富含钙、磷、氧等元素,非常适合血小板沉积,能有效诱导骨细胞生长。

这种活性亲水涂层使骨结合周期缩短至 3 - 5 周,骨接触率高达 82%,大大提升了种植牙的成功几率。

与传统种植体相比,雅定的 OsseoFix 表面处理促进了更快的骨愈合,为即刻种植和即刻负重提供了技术基础,显著缩短了患者的治疗周期。

(三)设计优势

自攻型设计:雅定种植体的自攻型设计通过大螺距逐级挤压松质骨形成稳定性,同时使皮质骨受力分散,优化了植入过程的生物力学分布。

这种设计使得种植体在植入时更加容易,减少了手术的难度和创伤。

反向切割槽设计:独特的反向切割槽设计允许医生使用手动扳手加力植入,种植体方向比较大可调整 15 度,大大提升了手术的灵活性和更准一些度,特别是在操作空间有限的后牙区,能够更好地适应不同的口腔情况。

倒锥形冠状设计:种植体的头部采用倒锥形冠状设计,这一结构可比较大程度提高软组织量和骨量,为种植体提供更好的周边支持,增强了种植体的稳定性。

螺纹设计:雅定提供双螺纹和三螺纹两种选择,这种设计使植体更容易获得初期稳定性,植入速度更快,操作更简单。

对于牙槽骨条件不理想的患者,其螺纹设计由锋利到宽型,逐步对骨产生挤压,即使在三类骨、四类骨等骨质条件较差的情况下,也能获得良好的初期稳定性。

(四)型号优势

雅定种植体提供从 2.75mm 到 6.0mm 的 8 种型号,覆盖了从单颗缺牙到全口修复的齐全临床需求。

特别是其 2.75mm 的超窄径植体,为牙槽嵴宽度不足 5mm 的萎缩病例提供了创新解决方案。

对于牙槽骨重度萎缩的患者,传统种植方案往往需要进行骨增量手术,而雅定的超窄径植体可以避免或减少骨增量手术的需求,降低了手术的复杂性和风险。

种植牙手术卡通图

四、种植牙的适用人群和禁忌人群

(一)适用人群

单颗牙缺失、多颗牙缺失或全口牙缺失的患者。

对牙齿美观和咀嚼功能要求较高的患者。

不愿意接受传统假牙修复方式,如活动假牙带来的不便和不适的患者。

牙槽骨条件较好,能够为种植体提供足够支持的患者。

(二)禁忌人群

患有严峻心血管疾病、未控制的糖尿病、血系统疾病等全身性疾病的患者,因为这些疾病可能会影响手术的可靠性和种植体的愈合。

口腔局部存在急慢性炎症,如牙周炎、牙龈炎等,需要在炎症得到控制后才能进行种植牙手术。

牙槽骨严峻吸收、骨量不足,无法为种植体提供足够稳定性的患者,可能需要可靠行骨增量手术或不适合种植牙修复。

长期服用某些特殊药物,如抗凝药、双膦酸盐类药物等,可能会影响凝血功能或骨代谢,需要在医生的指导下调整用药或评估手术风险。

有精神疾病或心理障碍,无法配合手术和术后护理的患者。

种植牙手术图片

五、种植牙的手术过程和术后护理

一)手术过程

术前检查和评估:患者需要进行齐全的口腔检查,包括口腔X光片、CT扫描等,以了解牙槽骨的情况、牙齿的位置和数量等。

同时,医生还会评估患者的全身健康状况,排除手术禁忌证。

种植体植入:在局部麻醉下,医生会在牙槽骨上制备一个合适的种植窝,然后将种植体植入其中。

手术过程中患者一般不会感到明显疼痛,但可能会有一些轻微的不适感。

愈合期:种植体植入后,需要等待一段时间让种植体与牙槽骨形成骨结合,这个过程通常需要 3 - 6 个月。

在愈合期间,患者需要遵循医生的建议,注意口腔卫生,避免食用出色的食物。

安装基台和牙冠:当种植体与牙槽骨达到良好的骨结合后,医生会再次切开牙龈,安装连接种植体和牙冠的基台。

待基台安装好并愈合一段时间后,就可以安装牙冠,完成整个种植牙修复过程。

(二)术后护理

口腔卫生:术后要特别注意口腔卫生,使用软毛牙刷按照正确的刷牙方法每天早晚刷牙,饭后使用清水或漱口水漱口,以保持口腔清洁,防止感染。

饮食注意:术后短期内应避免食用出色、过黏的食物,以免损伤种植体或导致牙冠松动。

可以先选择一些软烂、易消化的食物,如粥、面条、鸡蛋羹等,随着修养情况逐渐过渡到正常饮食。

定期复查:患者需要按照医生的嘱咐定期复查,以便医生及时了解种植体的愈合情况和口腔健康状况,发现问题及时处理。

一般在术后 1 周、1 个月、3 个月、6 个月等时间节点需要进行复查。

避免不良习惯:要避免吸烟、酗酒等不良习惯,因为这些习惯会影响种植体的愈合和长期稳定性。

同时,也要避免用种植牙咬开瓶盖、咬硬物等不良行为。

种植牙手术图示

六、种植牙集采政策的影响

(一)对患者的影响

降低经济负担:如前文所述,集采后以色列科特斯种植牙价格有望大幅下降,患者可以用更低的费用享受到种植牙服务,减轻了经济压力,使更多人能够接受种植牙修复。

提高可及性:价格的降低使得种植牙不再是少数人的选择,更多有牙齿缺失问题的患者能够有机会选择种植牙,提高了种植牙的可及性。

二)对口腔医疗机构的影响

业务量增加:随着种植牙价格的降低,会吸引更多患者选择种植牙修复,口腔医疗机构的种植牙业务量可能会相应增加。

规范市场竞争:集采政策促使口腔医疗机构更加看重产品质量和服务水平,规范市场竞争,推动整个行业的健康发展。

医疗机构需要在确保种植牙质量的前提下,通过提高服务质量和效率来吸引患者。

种植牙手术后图

七、如何选择合适的种植牙品牌和医疗机构

(一)选择种植牙品牌

了解品牌口碑:可以通过互联网、患者评价等渠道了解不同种植牙品牌的口碑和市场反馈。

像以色列雅定种植体,就凭借其优异的性能和良好的临床结果,在市场上获得了较高的认可度。

考虑自身口腔情况:根据自己的牙槽骨条件、牙齿缺失情况等因素选择合适的种植牙品牌和型号。

例如,牙槽骨条件较差的患者可以选择具有较好初期稳定性和适配性的品牌和型号。

参考医生建议:医生在口腔种植领域具有可靠知识和丰富经验,他们会根据患者的具体情况,为患者推荐合适的种植牙品牌。

患者可以充分听取医生的建议,做出合理的选择。

二)选择医疗机构

资质和信誉:选择具有正规医疗资质的口腔医疗机构,确保手术的可靠性和质量。

可以查看医疗机构的执业许可证、医生的执业资格证书等相关证件。

同时,了解医疗机构的信誉和口碑,选择口碑良好的机构。

设备和技术:可靠的设备和技术是种植牙手术成功的重要因素。

选择配备了可靠口腔检查设备、种植手术设备的医疗机构,能够提高手术的更准一些度和成功概率。

医生团队:医生的技术水平和经验直接影响种植牙手术的结果。

选择具有丰富种植牙手术经验、可靠技术过关的医生团队,能够为患者提供更优质的服务。

患者可以了解医生的从业年限、手术实例等信息。

服务质量:良好的服务质量能够让患者在就医过程中感受到舒适和安心。

选择服务周到、看重患者体验的医疗机构,能够提高患者的满意度。

总之,以色列科特斯种植牙在价格和性能上都有一定的特点,种植牙对于口腔修复具有重要意义。

患者在选择种植牙时,要充分了解相关知识,结合自身情况选择合适的种植牙品牌和医疗机构,并做好术后护理,以确保种植牙的结果和长期稳定性。

同时,种植牙集采政策的实施为患者带来了更多的实惠和选择,有望推动种植牙行业的进一步发展。

网友头像

桉訫2025-12-09 17:33:39

推荐攻略