您现在位置: 非常爱美网 >整容问答 >烤瓷牙 >南京做烤瓷牙套多少钱?2026收费明细:从300元到8000元的材质选择,不同修复需求对应价格全解

南京做烤瓷牙套多少钱?2026收费明细:从300元到8000元的材质选择,不同修复需求对应价格全解

非常爱美网友提问 2025-12-11 10:43:47

关键词: 我有更好的答案

满意回答

在南京,想做烤瓷牙套的朋友多半被“价格混乱”“材质不懂选”搞得头大,其实核心答案很明确:单颗烤瓷牙套价格从300元起覆盖至10000元,差异根源在材质等级修复难度工艺精度。本文就聚焦南京本地行情,把不同材质的真实价格、影响收费的关键因素拆解得明明白白,帮你避开信息差。

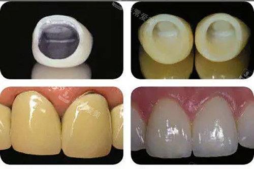
烤瓷牙冠和全瓷牙冠安装前后对比

一、材质是价格核心:不同烤瓷牙套材质对应价格区间

核心逻辑:材质成本决定基础定价,生物相容性与美观度成正比

烤瓷牙套的价格基石是材质,不同内冠材料的成本、性能差异直接拉开收费梯度,南京市场的主流定价如下:

镍铬合金烤瓷牙:300-500元起

这类牙套以镍铬合金为内冠,外层烧结瓷粉,是价格低至的基础款。其优势在于能满足后牙基本咀嚼需求,但金属稳定性一般,长期使用可能出现牙龈着色问题。

钴铬合金烤瓷牙:600-1200元起

作为南京市场的“性价比主力”,钴铬合金的生物相容性优于镍铬合金,对牙龈刺激小且强度足够,前牙后牙均可适配,是预算有限者的热门选择。

纯钛烤瓷牙:1000-2000元起

纯钛材质轻便耐腐蚀,更大亮点是不影响核磁共振检查,适合需要后续做影像学检查的人群。不过其瓷层与金属的结合难度较高,工艺要求更严,价格因此上浮。

贵金属烤瓷牙(金合金/钯金合金):2500-6000元起

内冠采用金、钯等贵金属,生物相容性比较不错,与牙龈贴合度高且不易腐蚀,美观度也优于普通金属烤瓷牙。这类牙套更适合对舒适度和耐用性有高要求的人群。

全瓷牙(二氧化锆/玻璃陶瓷):1500-8000元起

无金属内冠的设计让全瓷牙具备自然透光性,颜色与真牙高度接近,是前牙美学修复的首要选择。其价格差异源于材质产地,国产品牌性价比突出,进口品牌因工艺更精,价格可高达8000元起。

烤瓷牙和全瓷牙对比展示图

二、除了材质,这些因素悄悄影响南京烤瓷牙套末了收费

隐性成本:修复难度、工艺精度与地域位置的叠加效应

很多人以为选好材质就确定了总价,实则南京的口腔机构会根据实际修复情况调整费用,核心影响因素有三点:

修复难度是重要加价项。若基牙存在重度缺损、倾斜或需要先做根管治疗,会增加桩核修复、牙龈修整等步骤,单颗费用可能额外增加500-2000元。

工艺精度直接关联定价。采用数智化扫描、3D打印技术制作的牙套,备牙精度和贴合度更高,能减少佩戴异物感,这类工艺的费用比传统手工制作高10%-30%。

南京的地域位置也有影响。市中心或商圈周边的机构,因运营成本较高,同材质牙套价格可能比偏远区域高200-500元,但诊疗设备和服务体验往往更完善。

三、南京烤瓷牙套价格市场特点:选择多样,定价透明化

本地行情:材质分级明确,性价比选择丰富

作为医疗资源丰富的城市,南京的烤瓷牙套市场呈现“材质全覆盖、价格梯度清晰”的特点,能适配不同需求的人群。

中低端市场以金属烤瓷牙为主,300-1200元的价格区间满足了大多数人的基础修复需求,尤其钴铬合金烤瓷牙,因兼顾价格与性能,成为南京本地口腔机构的特别推荐款。

中高端市场则聚焦全瓷牙和贵金属烤瓷牙,1500元以上的价格对应更优的美观度和生物相容性,适合对牙齿修复有美学要求的人群,比如职场人士、年轻人等。

值得一提的是,南京市场的定价整体透明,多数机构会根据材质、工艺明确报价,不存在大幅隐形消费,这为消费者提供了更安心的选择环境。

烤瓷牙冠展示图

南京烤瓷牙套的价格核心是“材质定基础,细节定总价”,300-10000元的区间覆盖了从基础修复到高端美学需求的全场景。选款时,后牙可侧重性价比,前牙可优先考虑美观度,同时结合自身口腔状况和预算做决定。掌握这些价格逻辑,就能在南京的口腔机构中精又准找到适合自己的选择,既不花冤枉钱,也能满足牙齿修复的核心需求。

网友头像

公子2025-12-14 10:03:03

推荐攻略