您现在位置: 非常爱美网 >整容问答 >根管治疗 >昆明牙齿贴面收费价格一览表!国产瓷贴面约1200-2500元/颗。进口2500起!

昆明牙齿贴面收费价格一览表!国产瓷贴面约1200-2500元/颗。进口2500起!

非常爱美网友提问 2025-12-16 09:18:02

关键词: 我有更好的答案

满意回答

昆明牙齿贴面收费国产瓷贴面约1200-2500元/颗,进口2500起!

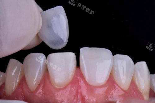
在昆明,很多人希望通过牙齿贴面来改善牙齿外观,提升自信笑容。

牙齿贴面是一种常见的牙齿美容修复方式,那么其收费情况如何呢?下面我们来详细了解一下。

国产与进口瓷贴面价格差异

在昆明,牙齿贴面收费因材料不同而有明显差异。

国产瓷贴面的价格大约在1200 - 2500元/颗。

这一价格区间的设定是有其原因的。

国产瓷贴面在材料的研发和生产上,考虑到了国内市场的消费能力和需求,成本相对较低。

其生产技术也在不断提升,能够满足大多数人对于牙齿美观和功能的基本需求。

牙齿贴面改善牙齿颜色和形状

而进口瓷贴面价格2500元起。

进口瓷贴面通常在制作工艺、材料质量上更具优势。

它们可能采用了更为可靠的陶瓷材料,具有更好的透明度、硬度和耐磨性,能够更逼真地模仿天然牙齿的外观和质感。

同时,一些进口品牌在市场上拥有较高的有名和口碑,消费者对其质量更有信心,这也导致了其价格相对较高。

牙齿贴面照片

影响价格的其他因素

除了材料的国产与进口之分,还有其他因素会影响昆明牙齿贴面的收费。

医院与医生的选择

不同等级的医院和不同经验的医生收费会有所不同。

大型的口腔专科医院或比较有名的连锁口腔机构,由于其设备可靠、环境舒适、服务周到,收费可能会相对较高。

而经验充足、技术优质的医生,他们在牙齿贴面的操作上更加熟练,能够确保更好的结果,其收费也会比普通医生高一些。

牙齿情况

每个人的牙齿状况各不相同。

如果牙齿本身存在较多的问题,如牙齿排列不齐、牙缝过大、牙齿颜色过深等,在进行牙齿贴面修复前可能需要进行一些预处理,这会增加治疗的复杂性和成本,从而导致收费提高。

贴面类型

除了瓷贴面,还有树脂贴面等其他类型。

树脂贴面价格相对较低,一般在几百元到一千多元不等,但它的美观度和耐用性不如瓷贴面。

牙齿贴面过程

在昆明进行牙齿贴面修复时,大家要综合考虑自身的需求和经济状况,选择适合自己的贴面材料和医疗机构。

同时,也要注意选择正规的口腔机构和有资质的医生,以确保治疗的靠谱和结果。

网友头像

叮当猫2025-12-16 09:18:02

推荐攻略