您现在位置: 非常爱美网 >整容问答 >种植牙 >吉林市吉诚口腔门诊部看牙好不好?超靠谱!诊疗项目全医师特色,收费透明无套路,本地口碑佳

吉林市吉诚口腔门诊部看牙好不好?超靠谱!诊疗项目全医师特色,收费透明无套路,本地口碑佳

非常爱美网友提问 2025-12-17 15:08:10

关键词: 我有更好的答案

满意回答

牙齿种植卡通示意图

问:吉林市吉诚口腔门诊部看牙到底好不好呀?

答:吉林市吉诚口腔门诊部非常靠谱。

这里拥有特色的医疗团队,医生们都具备丰富的临床经验和扎实的特色知识,能够为患者提供高质量的口腔诊疗服务。

而且门诊部的设备靠前,采用了行业内比较靠前的技术和设备,确保了诊断和治疗的更准性和较高的效率性。

从患者的反馈来看,大家对在吉诚口腔的看牙体验都十分满意,本地口碑较好。

问:这家门诊部的诊疗项目全不全呢?

答:吉诚口腔门诊部的诊疗项目十分齐全。

涵盖了牙齿矫正、牙齿种植、牙齿美白、补牙、拔牙、根管治疗、牙周治疗等常见的口腔项目。

无论你是想要改善牙齿的美观度,还是解决牙齿疼痛、缺失等问题,在这里都能找到合适的治疗方案。

比如牙齿矫正,针对不同的牙齿情况和患者需求,提供了传统金属矫正、陶瓷矫正、隐形矫正等多种选择;牙齿种植方面,采用靠前的种植技术和优质的种植体,确保种植结果稳定持久。

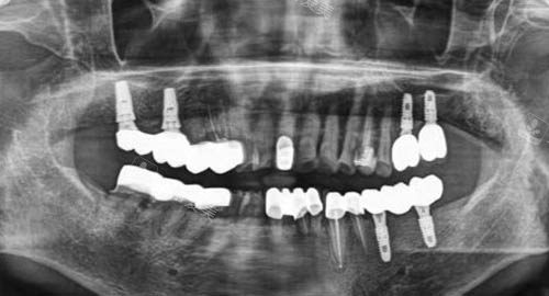
多颗牙齿种植ct

问:门诊部的医师有什么特色呢?

答:吉诚口腔的医师团队是一大特色。

他们不仅特色技术出色,而且对待患者非常有耐心和负责心。

在治疗前,医生会与患者进行详细的沟通,了解患者的需求和期望,制定个性化的治疗方案。

在治疗过程中,医生会严格遵循操作规范,确保治疗的可靠和结果。

同时,医师们还会不断学习和更新知识,掌握更新的口腔医学技术和理念,为患者提供更优质的服务。

问:在收费方面会不会有套路呀?

答:完全不用担心收费问题。

吉诚口腔门诊部收费透明,无任何套路。

所有的收费项目都有明确的标价,在治疗前会向患者详细说明各项费用,让患者清楚自己的消费情况。

而且门诊部不会强制患者进行不必要的治疗项目,一切以患者的实际需求和口腔状况为依据。

此外,还会根据不同的治疗项目和患者情况,提供合理的优惠活动,让患者能够享受到性价比高的口腔诊疗服务。

网友头像

可莉2025-12-21 11:03:02

推荐攻略