您现在位置: 非常爱美网 >整容问答 >种植牙 >武汉乾坤阳光口腔怎么样,正规机构环境整洁/种植矫正技术稳/医生耐心服务获认可!

武汉乾坤阳光口腔怎么样,正规机构环境整洁/种植矫正技术稳/医生耐心服务获认可!

非常爱美网友提问 2025-12-30 14:45:55

关键词: 我有更好的答案

满意回答

在武汉,牙齿问题困扰着不少人,而武汉乾坤阳光口腔成为了许多人的选择。那么,这家口腔机构究竟怎么样呢?下面就为大家详细介绍。

一、机构正规性有支持

武汉乾坤阳光口腔是经过相关部门严格审批成立的正规口腔机构。它拥有完善的资质证明,在医疗可靠和规范操作方面有着严格的标准和流程。从医疗器械的采购、消毒,到医护人员的资质审核等,都严格遵循各国相关规定。这让每一位前来就诊的患者都能放心地将自己的口腔健康交给这里的医护团队。

种植牙的组成部分

二、整洁舒适的就诊环境

走进武汉乾坤阳光口腔,首先映入眼帘的是整洁明亮的大厅。宽敞的候诊区摆放着舒适的沙发,还配备了饮水机、杂志等,让患者在等候过程中也能感受到舒适和放松。各个诊疗室都干净卫生,仪器设备摆放整齐有序,并且严格按照消毒规范进行清洁消毒,有效避免了交叉感染的风险。此外,医院的通风良好,室内空外形量佳,为患者营造了一个温馨的就诊环境。

不同牙冠的种植牙

三、稳固成熟的种植矫正技术

在种植牙方面,武汉乾坤阳光口腔引进了新型的种植系统,医生们会根据患者的具体口腔情况、骨质条件等,制定个性化的种植方案。手术过程中,凭借过关的技术和丰富的经验,能够更好植入种植体,确保种植的成功概率和稳定性。对于牙齿矫正,该口腔机构拥有多种矫正方式可供选择,如传统金属矫正、隐形矫正等。医生会根据患者的牙齿畸形程度、年龄等因素,综合考虑后给出较适合的矫正方案,帮助患者有效改善牙齿排列问题。

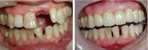
种植牙手术前后图

四、耐心负责的医生团队

武汉乾坤阳光口腔的医生们不仅正规技术扎实,而且服务态度十分耐心。在问诊过程中,他们会仔细聆听患者的诉求,详细询问病史,进行齐全的口腔检查。在解释病情和治疗方案时,会用通俗易懂的语言,让患者清楚地了解自己的口腔状况和治疗过程。在治疗过程中,医生们时刻关注患者的感受,及时调整操作手法,确保患者减少痛苦。如果患者在治疗后有任何疑问,医生们也会耐心解答,给予科学的建议。

种植牙植骨

五、良好的患者口碑认可

正是因为武汉乾坤阳光口腔在机构正规性、就诊环境、技术水平和医生服务等方面都表现出色,所以赢得了众多患者的认可和好评。许多患者在这里解决了多年的牙齿问题,修复了健康的口腔和自信的笑容。在社交媒体和患者评价平台上,我们可以看到大量患者分享自己在武汉乾坤阳光口腔的就诊经历,称赞这里的服务和治疗结果。这些良好的口碑就是对该口腔机构综合实力的较好证明。

如果你正在为口腔问题发愁,不妨来到武汉乾坤阳光口腔,相信这里会给你带来满意的治疗体验。

网友头像

苏七2025-12-30 14:45:55

推荐攻略