您现在位置: 非常爱美网 >整容问答 >牙齿矫正 >太原喜羊羊口腔张清华怎么样预约?舌侧正畸医师,复杂病例精密矫治!

太原喜羊羊口腔张清华怎么样预约?舌侧正畸医师,复杂病例精密矫治!

非常爱美网友提问 2025-12-31 16:57:58

关键词: 我有更好的答案

满意回答

张清华医生作为太原喜羊羊口腔门诊部的正畸带头人,拥有正畸硕士学位,是E-brace舌侧正畸和Insignia智能化正畸双医师,同时获得美国TWEED正畸研究基金会认证。

他不仅在2019-2020年连续获得ormco百强病例奖项,2022年更入选隐适美病例库,擅长处理各类复杂错颌畸形,在儿童咬合诱导及成人隐形矫治方面经验充足。

张医生严谨负责的工作作风与潮流的正畸技术相结合,为每位患者提供个性化精密矫治方案。

畸形舌侧窝卡通图

张清华医生正规技术特点

国内外认证的舌侧正畸医师

张清华医生是国内少数同时掌握E-brace舌侧正畸和Insignia智能化正畸技术的医师之一。

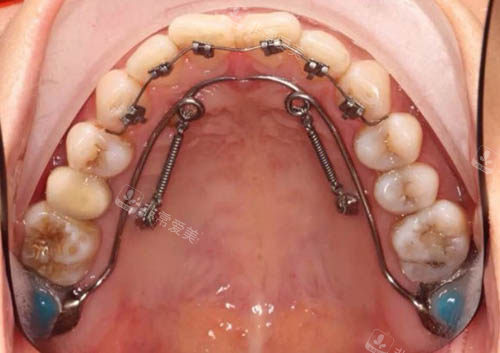
舌侧正畸作为目前比较高端的矫治技术之一,将矫治器完全安装在牙齿内侧,实现了"隐形中的隐形"结果。

张医生通过精密的智能化设计,使舌侧矫治器与每颗牙齿较好贴合,大大减少了传统舌侧矫治可能带来的不适感。

复杂病例的精密矫治方案

凭借多年临床经验,张医生特别擅长处理各类复杂错颌畸形,包括骨性错颌、开颌、深覆颌等疑难病例。

他采用Insignia智能化正畸系统,通过计算机辅助设计个性化矫治方案,更好控制牙齿移动的每一步。

一位曾接受治疗的双颌前突患者反馈:"张医生设计的矫治方案不仅解决了功能问题,还充分考虑了我的面部美学比例,治疗后的侧貌改善超出预期。"

儿童与成人矫治的差异化方案

在儿童咬合诱导方面,张医生在意颌骨发育的引导,采用功能性矫治器干预生长发育期的问题;对于成人患者,则更多采用隐形矫治技术,如隐适美无托槽矫治系统。

他特别强调:"成人矫治不仅是排齐牙齿,更要考虑面部整体协调性。"这种全年龄段的矫治理念使他能够为不同患者群体提供比较适合的解决方案。

正常舌侧窝和畸形舌侧窝

预约张清华医生的详细流程

线上预约渠道

目前太原喜羊羊口腔门诊部提供多种预约方式:

正规网站预约:进入喜羊羊口腔官网,选择"张清华医生"预约通道,填写基本信息并选择就诊时间。

微信公众号预约:关注"太原喜羊羊口腔"正规公众号,点击"预约挂号",选择"正畸科-张清华医生"。

电话预约:拨打门诊部预约热线,客服人员将协助安排就诊时间。

初诊准备事项

初次就诊前建议准备以下材料:

近期牙齿照片(正面、侧面咬合照)

如有既往牙科检查报告或X光片请一并携带

列出您的主要诉求和期望结果

预约成功后,门诊部会发送确认短信,包含具体就诊时间和注意事项。

复诊安排与时间管理

张清华医生的常规出诊时间为每周二下午和周四全天,复杂病例复诊间隔通常为4-6周。

门诊部采用预约制管理,确保每位患者有充足的就诊时间。

对于特殊病例,张医生团队会制定个性化复诊计划,并通过微信或电话提醒下次复诊时间。

畸形舌侧窝放大看的样子

真实病例分析与治疗结果

青少年复杂错颌矫治病例

15岁患者小王存在重的下颌后缩和牙列拥挤问题,张医生采用双期矫治方案:先使用功能性矫治器促进下颌发育,待换牙完成后进行固定矫治精细调整。

经过28个月治疗,患者不仅获得良好咬合关系,面部侧貌也得到显著改善。

家长表示:"治疗过程中张医生耐心解释每个阶段的目标,孩子配合度很高,结果比预期更好。"

成人舌侧隐形矫治病例

32岁的李女士因职业需要选择舌侧矫治解决前牙开颌问题。

张医生采用智能化设计技术,预先模拟牙齿移动路径,仅用18个月就完成治疗。

李女士分享:"同事们都没发现我在做矫正,完全不影响工作和社交,张医生的技术真的很娴熟。"

正畸-修复联合治疗病例

一位45岁患者因长期缺牙导致邻牙倾斜和对颌牙伸长,张医生先通过正畸扶正倾斜牙齿,为后续种植修复创造空间,比较终实现功能与美学的双重改善。

这种多学科联合治疗方式体现了张医生齐全的诊疗理念。

舌侧矫正图片

太原喜羊羊口腔门诊部比较全介绍

机构资质与医疗环境

太原喜羊羊口腔门诊部是经卫生部门批准成立的正规口腔医疗机构,拥有完善的消毒灭菌系统和较高的诊疗设备。

门诊部环境温馨舒适,设有独立诊室保护患者隐私,儿童诊疗区设计充满童趣,缓解小患者的紧张情绪。

医疗团队与服务质量

除张清华医生领衔的正畸团队外,门诊部还拥有种植、修复、牙周等各正规领域的实力出众医师。

护理团队均经过严格培训,执行标准化操作流程。

多位患者评价中提到:"这里的医护人员态度亲切,解释详细,让人感觉很放心。"

收费透明与增值服务

门诊部实行透明收费制度,所有项目明码标价。

正畸治疗费用根据病例复杂程度有所不同,金属托槽矫正3800元起,隐形矫治价格需根据具体方案确定。

值得一提的是,门诊部为所有正畸患者提供免费保持器和为期一年的保持期复查服务,确保治疗结果长期稳定。

舌侧矫正

舌侧正畸手术过程详解

初诊检查与方案设计

初次就诊时,张医生会进行齐全的口腔检查,包括拍照、取模和必要的X光检查。

利用智能化扫描技术获取更好的牙齿数据,结合患者诉求设计个性化矫治方案。

这一阶段通常需要1-2周时间完成方案制定和矫治器制作。

矫治器安装与适应期

舌侧矫治器的安装过程约需1-2小时,张医生会先将定制托槽精密粘接到每颗牙齿内侧,然后安装预成弓丝。

术后1-2周为适应期,可能出现轻微言语不清和舌部不适,医生会提供专用保护蜡和详细护理指导。

定期调整与结果监控

每4-8周需复诊一次,张医生会根据治疗进展更换弓丝或调整矫治力度。

通过定期智能化扫描监控牙齿移动情况,必要时微调矫治方案。

整个治疗周期视病例复杂程度而定,通常为18-30个月。

保持器阶段与长期维护

矫治器拆除后,需佩戴保持器维持治疗结果。

张医生通常建议头一年全天佩戴,之后逐渐减少佩戴时间。

门诊部会定期随访,确保牙齿稳定在理想位置。

牙齿矫正舌侧矫正牙套概念透视图

选择张清华医生的五大理由

出色认证技术因素:拥有多项国内外正畸认证,技术实力获行业认可

丰富复杂病例经验:处理过各种疑难错颌畸形,临床经验超过18年

个性化美学设计:不仅关注牙齿排列,更在意面部整体协调性

智能化精密矫治:采用较高数字技术,治疗过程可预测、结果可控制

全程贴心服务:从初诊到保持期,提供细致正规的全程指导

通过以上齐全介绍,相信您对太原喜羊羊口腔张清华医生的舌侧正畸技术和服务有了清晰了解。

如需预约或进一步问询,可通过前文提供的渠道联系门诊部,开启您的牙齿矫治之旅。

网友头像

桉訫2025-12-31 16:57:58

推荐攻略