您现在位置: 非常爱美网 >整容问答 >牙齿贴面 >云南怡园医院口腔科怎么样?看牙齿好也是正规的口腔科!

云南怡园医院口腔科怎么样?看牙齿好也是正规的口腔科!

非常爱美网友提问 2026-01-19 14:39:48

关键词: 我有更好的答案

满意回答

云南怡园医院口腔看牙非常好!

很多人在选择看牙的医疗机构时,都会关注云南怡园医院口腔科,下面就从几个方面为大家详细介绍一下这家口腔科。

牙齿贴面动画展示图

一、正规资质有维持

云南怡园医院口腔科是具备正规医疗资质的正规科室。

它经过了相关卫生部门的严格审批和监管,各项诊疗服务都遵循各国规定的医疗标准和规范。

医院拥有齐全的证照,从医生的执业资格到科室的运营许可,都符合法定要求。

这意味着患者在这里看牙能够得到合法、规范的医疗服务,不用担心医疗可靠和质量问题。

在正规资质的维持下,患者可以放心地将口腔健康交给该科室的医护人员。

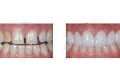
牙齿贴面前后对比图

二、正规的医疗团队

该口腔科拥有一支正规素质高、临床经验充足的医疗团队。

医生们大多毕业于出名的口腔医学校校,具备扎实的理论基础。

他们还不断参加各类学术交流和培训活动,及时掌握国内外较高的口腔诊疗技术和理念。

例如,在牙齿矫正方面,医生能够根据患者的具体情况,如牙齿排列、咬合关系等,制定个性化的矫正方案,包括传统的金属牙套矫正、隐形矫正等多种选择。

在牙齿修复方面,对于烤瓷牙、全瓷牙、种植牙等技术也都十分娴熟,能够为患者提供高质量的修复结果。

护士们也经过正规的护理培训,在治疗过程中能够给予患者细心的照顾和正规的护理指导。

牙齿贴面美白牙齿卡通图

三、较高的设备与技术

云南怡园医院口腔科引进了一系列较高的口腔诊疗设备。

如口腔CT机,能够清晰地显示口腔内部的骨骼结构和牙齿情况,为医生的诊断提供比较准的依据;智能化口腔扫描仪,可以快速、比较准地获取牙齿的三维模型,大大提高了牙齿修复和矫正的精度和效率。

同时,科室还采用了较高的消毒设备和技术,严格遵循一人一用一消毒的原则,有效避免了交叉感染的发生,维持了患者的就医可靠。

牙齿贴面修复卡通图

四、优质的服务体验

在服务方面,该口腔科始终以患者为中心。

从患者进门开始,就有导医热情接待,帮助患者挂号、引导就诊。

在治疗过程中,医生会耐心地与患者沟通,解答患者的疑问,让患者充分了解自己的口腔状况和治疗方案。

治疗后,还会为患者提供详细的护理建议和回访服务,确保患者能够更好地修养口腔健康。

综上所述,云南怡园医院口腔科无论是从正规性、医疗团队、设备技术还是服务体验等方面来看,都是一个值得信赖的看牙选择。

网友头像

叮当猫2026-01-19 14:39:48

推荐攻略