您现在位置: 非常爱美网 >整容问答 >口腔修复 >成都圣贝口腔医院呼附性义齿做的好不好?价格多少钱?口碑爆棚!患者实测稳固性超强不脱落!

成都圣贝口腔医院呼附性义齿做的好不好?价格多少钱?口碑爆棚!患者实测稳固性超强不脱落!

非常爱美网友提问 2026-02-10 18:29:10

关键词: 我有更好的答案

满意回答

成都圣贝口腔医院的吸附性义齿技术成熟,采用分层设计兼顾美观与功能,通过精密模型定制确保义齿与口腔组织紧密贴合,稳固性和舒适度较高,患者普遍反馈佩戴初期即无明显异物感,咀嚼和发音功能改善显著。

其功能性全口义齿参考价格约8795元起,吸附式义齿约8749元起,具体费用因材料、工艺及患者口腔条件而异,医院提供透明化收费和个性化方案,整体性价比获认可。

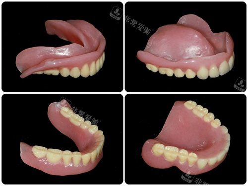
吸附性义齿模型图

在成都,缺牙修复的需求日益增长,吸附性义齿因其稳固性、舒适性和功能性,成为许多患者的首要选择。

成都圣贝口腔医院凭借其技术实力与服务口碑,在吸附性义齿领域脱颖而出。

本文将从技术原理、临床病例、价格梯度、服务特色四个维度,深度解析圣贝口腔的吸附性义齿为何值得选择。

全口吸附性义齿实物展示图

一、技术原理:3D打印+生物吸附,精密适配口腔结构

圣贝口腔的吸附性义齿采用“3D打印+生物吸附”技术,通过智能化口扫设备精细扫描口腔,生成三维模型后,根据牙槽骨形态设计基托边缘,确保与黏膜紧密贴合。

其核心优势在于:

稳固性提升:通过边缘封闭和负压吸附原理,义齿能紧紧“贴”在牙槽骨上,大笑、打喷嚏时不易脱落。

咀嚼效率优化:根据患者咬合习惯调整牙齿排列,例如后牙设计更宽大,咬合力提升明显。

材料轻便耐用:使用高弹性树脂材料3D打印义齿,既轻便又耐用,佩戴舒适度高。

一位60岁患者李阿姨的病例颇具代表性。

她缺牙十年,传统假牙吃饭时总“打滑”,啃苹果需用手扶。

在圣贝口腔定制吸附性义齿后,她惊喜地发现:“假牙像长在嘴里一样,啃苹果都不带掉渣的!”复查时,医生检查其口腔黏膜和牙槽骨,确认边缘封闭良好,无压痛,适配度极高。

全口吸附性义齿侧面图

二、临床病例:从“不敢笑”到“自信交流”,患者满意度高

圣贝口腔的吸附性义齿已帮助众多患者重拾自信。

例如:

李阿姨的“啃苹果”体验:佩戴标准款全口吸附性义齿后,她不仅能轻松啃苹果,还能吃红烧排骨、玉米等硬物,咀嚼效率显著提升。

张叔叔的“发音改善”:因缺牙导致发音不清,佩戴义齿后,他重新找回清晰发音,与人交流更自信。

王奶奶的“脸型修复”:长期缺牙导致牙槽骨吸收、脸型凹陷,佩戴义齿后,面部饱满度提升,老姐妹都夸她年轻了十岁。

这些病例表明,圣贝口腔的吸附性义齿不仅能修复咀嚼功能,还能改善发音和面部轮廓,提升患者生活质量。

吸附于义齿卡通模型图

三、价格梯度:从基础款到高端定制,满足不同需求

圣贝口腔提供多层次价格方案,患者可根据牙槽骨条件、经济能力和使用需求灵活选择:

标准款全口吸附性义齿:28000元起,包含智能化取模、3D打印义齿、三次调整和一年免费维护。

高端定制款:35000元起,采用进口高弹性树脂材料,基托更薄更贴合,咬合力提升明显。

极速款:32000元起,从取模到戴牙需要三天,适合急需用牙的患者。

此外,圣贝口腔还提供暑期活动活动,例如0元正畸检查、超声波洗牙基础护理型套餐99元等,进一步降低患者经济负担。

BPS吸附性义齿模型图

四、服务特色:全流程陪伴+个性化调整,患者体验感佳

圣贝口腔的服务贯穿治疗全程,从取模、试戴到调整,均有专人陪同。

医生会耐心医师摘戴技巧和清洁方法,例如“用软毛牙刷刷义齿内侧”等细节。

术后护理指导同样贴心,包括:

详细护理方案:涵盖如何正确清洁义齿、保护口腔黏膜、饮食注意事项等。

定期复查机制:医生根据患者情况及时调整护理方案,确保义齿长期适配。

紧急修复服务:若义齿出现损伤,医院提供加急处理,减少患者不便。

一位患者评价:“从进门到离开,每个环节都有专人引导,医生态度温和,解答问题耐心,让人很安心。”

吸附性义齿照片

成都圣贝口腔医院的吸附性义齿,凭借其技术优势、临床结果、价格梯度和服务特色,成为缺牙患者的理想选择。

无论是追求性价比的基础款,还是重视品质的高端定制款,圣贝口腔均能提供特色解决方案。

如果你正为缺牙问题困扰,不妨前往圣贝口腔,体验吸附性义齿带来的稳固与舒适,重拾自信笑容!

网友头像

安妮2026-02-23 07:54:02

推荐攻略