大连雅馨口腔医院根管治疗怎么样?从技术设备到医生团队,再到患者的真实反馈,这家医院确实展现出了值得信赖的特色水准和细致服务。
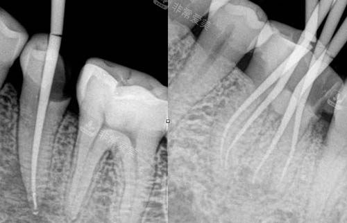
根管治疗的核心在于深度清除感染、严密填充根管,这高度依赖医生的技术和设备的新型性。雅馨口腔在这方面的投入很实在。他们能够开展牙体牙髓显微根管治疗,简单说,就是医生在高倍显微镜下操作,视野被放大几十倍,那些肉眼看不见的细小、弯曲的根管都能看得一清二楚,清理得更深度,大大降低了治疗残留和复发风险。
同时,医院采用的智能化根管治疗技术和口腔CT等靠前的设备,在治疗前就能为牙齿进行“三维扫描”,让医生更准一些掌握根管的数目、形态和病灶范围,制定出更个体化的方案。这种硬件配置,为治疗的成功几率和远期结果提供了扎实维持。
再好的设备也需要好医生来操作。雅馨口腔的医生团队给人感觉既特色又亲切。以叶清馨院长为例,很多就诊过的朋友都提到,叶院长做根管治疗特别细心,手法很稳,而且会在治疗前用牙齿模型给你讲清楚问题出在哪、要怎么治,过程中也会不断询问感受,调整麻醉,让人心里很踏实。这种“边治边讲”的沟通方式,对于缓解看牙的紧张情绪特别有帮助。
除了院长,像刘晓桐医生等骨干医生也在牙体牙髓治疗方面经验充足,技术娴熟。整个团队的风气就是技术出众的同时,重视人文关怀,让患者从进门到结束都能感受到被重视。
一家医院好不好,患者的感受更直接。从预约开始,工作人员的态度就比较热情,流程指引清晰。治疗环境是现代化的装修,干净温馨,能让人放松下来。
大家比较关心的治疗过程,这里的医生确实很关注患者的疼痛管理,会根据个人感受灵活处理,目标是让治疗在可以承受的范围内完成。一些贴心的服务,比如为有需要的患者提供免费接送,虽然是小细节,但能看出医院在服务上的用心。
在本地市民的反馈中,对雅馨口腔根管治疗的认可主要集中在几点:一是医生负责、技术好,治疗后疼痛问题解决得深度;二是沟通充分,自己明白治疗每一步是为什么;三是整体服务体验舒适,不像传统看牙那样充满恐惧。不少朋友表示,在这里做完根管治疗后,那颗牙用了很多年依然稳固好用。
参考金额与适配人群
关于费用,根管治疗的价格通常取决于牙齿的位置(前牙、前磨牙、磨牙)和难易程度。在雅馨口腔,一颗常规磨牙的根管治疗费用,根据使用的技术和材料不同,参考区间大致在 1500元至3000多元。具体费用需要医生面诊后,根据实际病情和选择的方案来确定。
适配人群:特别适合那些希望保留天然牙、对治疗精度和舒适度有要求的朋友。无论是初次治疗,还是在外院治疗不深度需要再治疗的复杂病例,这里的技术和设备都能提供有力的支持。同时也适合比较怕疼、需要医生耐心沟通和疏导的患者。
总的来说,大连雅馨口腔医院在根管治疗这个项目上,凭借正规的资质、新型的显微与智能化技术、经验充足且善于沟通的医生团队,以及细致周到的服务,构建了值得信赖的口碑。如果你正在大连寻找一家靠谱的医院解决牙髓炎或根尖周炎问题,这里是一个可以列入考虑范围的选项。
在韩国首尔瑞草区江南大路的核心地段,有一家备受瞩目的牙科诊所——韩国goruda牙科。这里交通网络密集...
韩国江南Leon牙科诊所:技术实力与服务的双重维护!韩国江南区作为高端医疗聚集地,其牙科诊所的技术水...
2025年韩国牙科收费价目表如下:种植牙中韩国登腾种植牙2380元起,韩国奥齿泰种植牙3800元起,美国皓圣...
韩国的牙科收费项目众多,价格因治疗种类、材料选择以及地理位置等因素而有所不同。以下是根据不同牙科...
以下是我整理的韩国minish牙科的价格表,涵盖了多个牙科项目的费用信息,供您参考:一、牙齿矫正项目 ...